
Legal & Regulatory
Latest News
Latest Videos

More News

Citing a need for more Chemistry Manufacturing and Controls information, Abeona intends to address the requirements quickly.

Approval comes amid positive results of a single-arm trial, showing a complete response rate of 77% in patients with Bacillus Calmette-Guérin-unresponsive non-muscle invasive bladder cancer.

Technology designed to effectively address blood clots by combining capabilities of larger devices with smaller catheters.

Approval was based on positive data from Takeda’s Phase III VISIBLE 2 study, which displayed long-term clinical remission in approximately half of patients with Crohn disease receiving Entyvio.

Data displayed rapid and sustained B-cell depletion, with 97.2% of study patients with relapsing and primary progressive multiple sclerosis experiencing no relapses.

Data from the Phase III APPLAUSE-IgAN study showed a 38.3% reduction in proteinuria in patients treated with Fabhalta for IgA nephropathy compared to placebo.

Phase IIa clinical trial of SPG60 for Fragile X syndrome offers hope for disease with no current FDA-approved treatment options.

A cohort study digs into whether there is an improvement in overall survival or quality of life within five years of the FDA granting accelerated approval to oncology drugs.

Cross-sectional study explores the impact of this monumental Supreme Court ruling.

Exploring how current and future legislation may impact the role of pharmacy benefit managers (PBMs).

A study investigates how a New Mexico law can impact patients’ out-of-pocket costs surrounding mental health and substance use disorder medications.

Conference’s opening session addresses the evolving landscape of healthcare coverage and accessibility.

Xhance is the first medication indicated for the treatment of chronic rhinosinusitis without nasal polyps to be approved by the FDA.

Approval was based on positive data from the Phase III MARCH study across a range of genetic progressive familial intrahepatic cholestasis types.

A proposed Senate bill is intended to protect citizens’ private health and genetic information.

IPX203—an oral formulation carbidopa/levodopa extended-release capsules —would expand Zambon’s neurology portfolio.

Compared with piperacillin/tazobactam, Exblifep (cefepime/enmetazobactam) showed noninferiority and superiority in a clinical cure and microbiological eradication of complicated urinary tract infections.

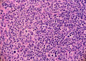
Epkinly (epcoritamab-bysp), a subcutaneously administered, T-cell engaging, bispecific antibody, was previously granted Breakthrough Therapy Designation for the treatment of patients with relapsed or refractory follicular lymphoma following two or more prior lines of therapy.

Bayer's BAY 2927088 is under evaluation to treat unresectable or metastatic non-small cell lung cancer with tumors harboring activating HER2 mutations.

SKYTyphoid, a single-dose typhoid conjugate vaccine jointly developed by SK bioscience and the International Vaccine Institute, showed a positive immunogenicity and safety profile across age groups.

Trial data show Dupixent is the first and only novel biologic drug to significantly improve lung function and reduce severe acute exacerbations in adults with uncontrolled chronic obstructive pulmonary disease.

First-in-Class Novel Therapy for Chronic Myelomonocytic Leukemia Granted FDA Orphan Drug Designation
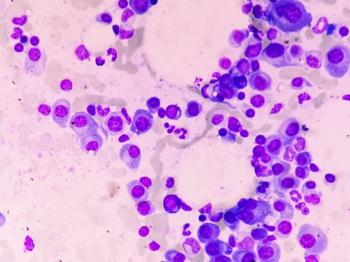
Immune-Onc Therapeutics’ IO-202 is currently being analyzed as a monotherapy and in combination for patients with relapsed/refractory acute myeloid leukemia with monocytic differentiation or chronic myelomonocytic leukemia.

Regeneron Pharmaceuticals’ linvoseltamab is currently in clinical development to treat adult patients with relapsed/refractory multiple myeloma who experienced disease progression following prior administration of at least three therapies.

Phase III results from Keytruda (pembrolizumab)’s NRG-GY018 trial help influence the agency’s decision.

Tecvayli (teclistamab-cqyv) was the first bispecific antibody to gain FDA approval for the treatment of multiple myeloma.





